ГАЛЕРЕЯ РАБОТ
ГАЛЕРЕЯ РАБОТ
- РАЗДЕЛЫ
- Ортодонтия
Лечение ВНЧС (Клинический случай №2)
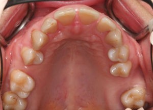
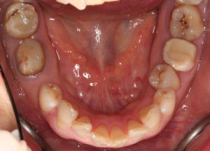
Пациентка, 43 года обратилась в клинику с жалобами на наличие промежутков между зубами, измененный наклон передних зубов верхней челюсти, появившейся за последнее время. Также пациентку беспокоил изменившийся профиль лица.
После беседы и стоматологического осмотра пациентки был составлен план диагностического обследования, который включал в себя:
- рентгенологические снимки (ортопантомограмму и телерентгенограмму),
- пальпаторное исследование движений нижней челюсти в ВНЧС,
- лицевые и внутриротовые фотографии,
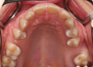
- гипсовые модели челюстей






После анализа диагностических данных был составлен план ортодонтического лечения и определен объем предполагаемых предортодонтических мероприятий.
Все этапы ортодонтического лечения и выбор аппаратуры для его осуществления (вид брекет-системы, дополнительные приспособления) согласованы с пациентом.
План лечения ВНЧС подробнее:
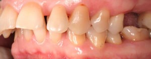
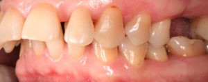
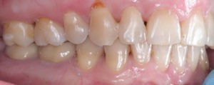
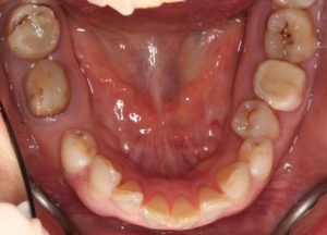
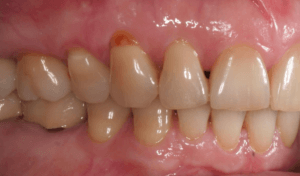
Для предварительной подготовки были привлечены пародонтолог и ортопед, поскольку отсутствие нескольких зубов, заболевание пародонта и дефекты твердых тканей зубов сопутствовали основной патологии. Проведены пародонтологические процедуры, вылечен кариес и его осложнения, изготовлены временные коронки для зубов с большим разрушением. На фото — временные коронки на боковых зубах.




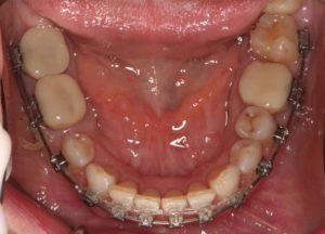
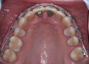
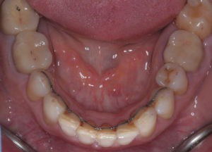
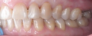
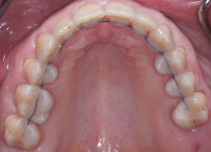
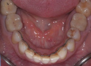
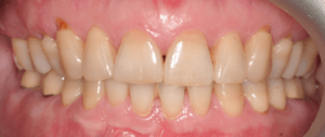
Искривление окклюзионной кривой (плоскости смыкания зубов), возникшее в результате парадонтита, успешно удалось устранить, используя накусочные брекеты на верхних резцах и микроимплант, установленный во фронтальном участке нижней челюсти:






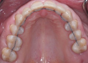
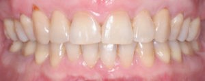
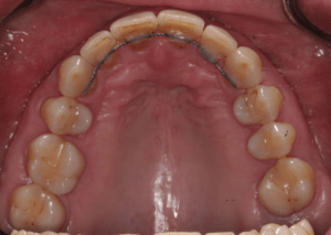
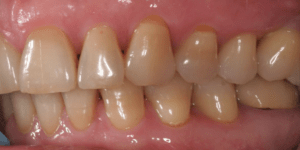
Пациентка довольна профилем и красивой улыбкой.



















Клиника Ортокон Плюс оказывает услуги по лечению ВНЧС в Харькове
В галерею работ