Терапевтическая стоматология
Важная задача терапевтической стоматологии – предупреждение кариеса и его осложнений. Один из наиболее действенных методов первичной профилактики кариеса – герметизация фиссур (фиссуры – естественные углубления эмали на жевательной поверхности боковых зубов. Эта процедура, позволяющая избежать развития кариеса фиссур, проводится как детям, так и взрослым, но наиболее оправдана в детском возрасте. У ребёнка прорезавшиеся зубы имеют «незрелые» твердые ткани с недостатком минералов и у эмали низкая способность сопротивления кариесу.
Минерализация зубной эмали происходит, как минимум, в течение года. Именно в этот период ткани зуба наиболее уязвимы для микробов, вызывающих кариозный процесс. К тому же, в силу своего анатомического строения, именно фиссуры являются «удобным» местом для образования зубного налёта, который способствует возникновению кариеса. А учитывая плохое «самоочищение» данной области, возможность возникновения кариеса увеличивается.
Итак, герметизация фиссур решает две задачи: создаёт на поверхности зуба физический барьер для кариесогенных факторов и реминерализует эмаль в области фиссур.
Когда стоит проводить герметизацию фиссур?
Наибольшая эффективность процедуры будет достигнута, если проводить её сразу после прорезывания постоянного зуба (как только покажется вся жевательная поверхность).
В 6 лет у детей обычно появляются первые постоянные жевательные зубы (моляры). Другие постоянные зубы, для которых также будет необходима защита, прорежутся в возрасте 9-10 лет. В указанные периоды герметизация фиссур наиболее актуальна.
Так как же происходит процедура герметизации фиссур?
На очищенную жевательную поверхность зуба наносится герметик, который надёжно крепится к поверхности фиссуры. Благодаря своей высокой текучести, герметик проникает даже в очень узкие и глубокие фиссуры. Затем производится полимеризация герметика.
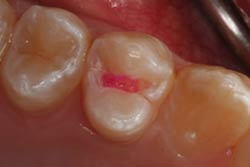
Цветовое отличие герметика от тканей зуба неслучайно, это делается для того, чтобы пациент мог самостоятельно контролировать целостность герметика. Процедура герметизации фиссур абсолютно безболезненна.
Принцип микропрепарирования в терапевтической стоматологии заключается в максимальном сохранении тканей зуба за счет удаления только тех кариозных участков, которые не могут быть вылечены. Для минимизации объема препарированных тканей в Клинике «Ортокон плюс» используются боры сверхмалых размеров, позволяющие точечно убирать некротизированные участки эмали и дентина.

Для чёткого определения границ вмешательства нами используется препарат, именуемый кариес-детектором. Принцип работы заключается в следующем: на предварительно отпрепарированную полость на 1 минуту наносится специальный раствор (кариес-детектор).

Участки, подверженные деминерализации, окрашиваются, что помогает врачу не пропустить ни одного поражения, и вместе с тем бережно отнестись к участкам здоровой эмали.

Отдельно хочется сказать о пломбировочных материалах, применяемых в технике минимальной инвазии. Дело в том, что узкие пространства, получаемые на месте кариозного поражения, довольно сложно равномерно запломбировать обычными пломбировочными материалами. Для этих целей применяют жидкотекучие фотоотверждаемые компоненты, которые благодаря своей пластичной консистенции легко заполняют кариозные полости любых размеров, обеспечивая надёжность и долговечность реставрации зуба.

Художественная реставрация в стоматологии – это восстановление структуры зуба путем замещения утраченных тканей различными реставрационными материалами. Эстетическая стоматология – один из наиболее сложных разделов стоматологии, требующий творческого подхода и глубоких знаний анатомии и физиологии зубов.
Очень важно, чтобы реставрация была эстетична и долговечна. Для этого доктор должен правильно выбрать показания к изготовлению конструкции, учесть вид прикуса и наличие вредных привычек.
В каких случаях рекомендована реставрация зубов:
— наличие старых потемневших пломб;
— неправильная и неэстетичная форма зуба;
— аномалии размеров зубов (микродентия, когда ширина и высота зуба меньше нормы, либо
слишком длинные зубы);
— сколы зубов;
— наличие промежутков между зубами;
— незначительные аномалии положения зубов, когда ортодонтическое лечение противопоказано, либо пациент выбирает «быстрый» способ сделать идеальную улыбку;
— пятна, трещины на поверхности зуба;
— тёмный цвет зубов, который нельзя устранить профессиональным отбеливанием (когда оно противопоказано);
— дефект поверхности эмали;
— значительное разрушение твёрдых тканей живого зуба.
Каждый случай художественной реставрации индивидуален, т.к. эмаль у каждого пациента отличается по микрорельефу, прозрачности, насыщенности и спектру оттенков. Широкая цветовая палитра современных материалов для реставрации зубов позволяет подобрать цвет используемого композита для максимальной имитации тканей зуба. Композиты давно широко используются для этих целей и могут служить безупречно около 5 лет.
Достоинства эстетической реставрации:
- во многих случаях обеспечивается сохранность зубов пациента в «живом» состоянии,
- реставрация зуба проводится за одно посещение,
- в некоторых случаях эстетическая реставрация может заменить ортопедическое либо ортодонтическое лечение,
- художественная реставрация дает возможность придать зубам другую форму и цвет и позволяет человеку выглядеть гораздо моложе,
- реставрационное лечение обходится пациентам намного дешевле, чем протезирование.
Эндодонтия – наука о методах и приемах, которые используют при лечении корневых каналов зуба. Корневой канал – это пространство внутри зуба в котором находятся нервы и кровеносные сосуды. Корен
ь зуба — сложный объект для лечения. Во первых, он недоступен визуальному контролю.во вторых, строение системы корневых каналов вариабельно, как по их количеству, так и по морфологии (строению). Как правило, многие каналы представляют собой «канальное дерево» и имеют разнообразные дельтовидные ответвления и щелевидные углубления, в которых находится пульпа зуба.
В каких же случаях возникает необходимость обращения к эндодонту?
- при развитии осложнений кариеса: при пульпите и периодонтите (Пульпит – воспаление сосудисто–нервного пучка зуба (пульпы). Периодонтит – воспаление тканей, окружающих зуб, характеризующееся нарушением целостности связок, удерживающих зуб в своей лунке, плотной пластинки кости, окружающей зуб, от незначительных размеров до образования больших кист.);
- при травматических повреждениях зубов;
- при повторном лечении зубов с ранее безуспешно вылеченными корневыми каналами;
- иногда при подготовке к протезированию необходимо депульпирование зуба (удаление нерва).
Цель эндодонтии –
тщательная механическая и антисептическая обработка системы корневых каналов зуба, их надежная обтурация (пломбирование) и создание герметичной реставрации коронковой части зуба.Так как в современной стоматологии мышьяк не применяется, то, обычно, достаточно одного посещения, в ходе которого врач после местной анестезии абсолютно безболезненно удалит инфицированную ткань из системы корневых каналов и, обработав их специальными инструментами и медикаментами, запломбирует каналы гуттаперчей. Гуттаперча – это современный пластичный пломбировочный материал, который не дает усадки и не рассасывается со временем, что гарантирует долговременный положительный результат!
При лечении некоторых эндопатологий требуется экспозиция лечебных препаратов, поэтому может потребоваться несколько визитов. Окончательное пломбирование будет проведено в одно из посещений. Между визитами полость зуба надежно закрыта временной пломбой либо временной коронкой; их предназначение — закрытие доступа микроорганизмов к корневым каналам.
При перелечивании корневых каналов при необходимости извлекаются стекловолоконные штифты, металлические вкладки, фрагменты эндодонтических инструментов.
Перед началом эндодонтического лечения проводится рентгенологическое обследование, которое позволяет изучить анатомические особенности (количество и конфигурацию корней и каналов, размер и структуру пульпарной камеры), угол и радиус кривизны корневого канала, а также оценить стадию формирования корня, если пациент подросток. Если зуб ранее лечен эндодонтически, то такое обследование позволяет выявить перфорацию корня, наличие отломков эндодонтического инструмента в корневых каналах, оценить степень обтурации корневых каналов, обнаружить изменения в костной ткани, окружающей зуб.
В процессе эндолечения на отдельных этапах применяется апекс-локатор для измерения рабочей длины корневых каналов. После пломбировки коревых каналов проводится рентгеновский контроль качества обтурации.
Хорошим подспорьем врачу-эндодонту служит бинокулярная лупа и операционный микроскоп. С их применением доктор безошибочно определит анатомическое строение корневых каналов, например, наличие ответвлений и устьев, кальцификацию каналов. Благодаря хорошему освещению в операционный микроскоп хорошо видны детали участков корня, вплоть до самой его верхушки.






